Periodontics & Implant Surgery
Dr. Nooshin Ghayoumi, DDS, Inc.
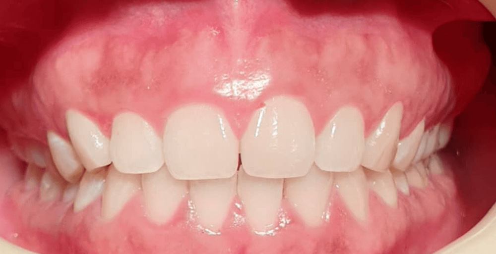
Crown lengthening is used for both cosmetic and clinical purposes. During this procedure, excess gum and bone tissue is reshaped to expose more of the natural tooth. Cosmetic crown lengthening is used to correct a gummy smile by elongating the crown of the tooth.
Clinical crown lengthening is performed when the tooth is decayed, broken below the gum line, or has insufficient tooth structure for a crown or bridge restoration. Crown lengthening adjusts the gum and bone level to expose more of the tooth, so it can be restored.



Crown lengthening is an excellent treatment method for patients with various reasons such as fractures, caries, genetics, etc. More than the length of the crown of the tooth is needed for the cover; this problem can be easily solved with the help of various methods of increasing the crown length.
Dental crown lengthening surgery is minimally invasive, and in addition to the fact that you have to go to a specialist dentist to perform it, it is better to read enough information about tooth crown lengthening, such as the types of methods of performing this treatment, benefits, side effects, Get care, recovery time, etc. so that you can have a better treatment process.
In this article, from 0 to 100, everything you need to know about increasing the length of the tooth crown is given. Stay with us.
If the patient’s gums abnormally cover the teeth, or if there is a particular problem and accident, and the areas of the teeth under the gums are needed for treatment, crown lengthening surgery is performed.
Tooth crown lengthening surgery is considered a cosmetic and therapeutic procedure. However, it is not necessary for everyone, only for people who have fractures due to accidents or genetics and teeth with an improper structure that hurts their beauty and health. Tooth crown lengthening surgery is necessary.
Fracture
Sometimes, the tooth fracture is so severe that the tooth is damaged below the gum line. In this situation, the dentist must perform crown lengthening surgery for easier access to the entire damaged structure of the tooth.
In some cases, dental problems such as caries and worm infestation penetrate the parts of the teeth under the gums. In this situation, the dentist can access more parts of the tooth for repair and treatment by increasing the tooth crown’s length and applying the best treatment for you.
Cosmetic Surgery
Sometimes, due to covering a large part of the upper part of the teeth by the gums, the teeth look short when talking and smiling, negatively affecting the face’s beauty. This problem can be solved with the help of tooth crown lengthening surgery.
Different types of crown lengthening methods are designed for specific needs. Crown lengthening surgery is minimally invasive. To perform any operation to increase the length of the crown, visit an equipped clinic and a sharp dentist. Dr. Ghayoumi’s dental clinic is at your service to perform cosmetic, restorative, and crown-lengthening procedures. We explain the most important ways to increase the length of the crown.


Surgical extrusion is used in crown lengthening procedures to reveal more of the tooth structure. A skilled oral surgeon or periodontist performs this procedure. During surgical extrusion, the patient is completely anesthetized. At first, the tooth is carefully loosened. The tooth is gradually removed from the socket to reveal more of the natural tooth structure. Then, they shape the surrounding soft tissue and bone to create a harmonious gum line.
Surgical extrusion is a standard crown-lengthening procedure and usually has a relatively short recovery time. Patients are advised to follow the postoperative instructions, including the following:
Surgical extrusion is performed to facilitate the placement of dental veneers for functional and aesthetic reasons.
Gum flap surgery is a necessary procedure to increase crown length. Gum flap surgery is performed to change the shape of the gum and bone tissue to reveal more of the tooth structure. This surgical technique includes several steps to achieve the desired result.
The procedure begins with administering anesthesia to ensure patient comfort during surgery. While the patient is anesthetized, an incision is made along the gum line. It then creates a small flap of tissue that can be lifted. By lifting this flap, the underlying tooth and bone are exposed.
The flap is carefully raised in the next step, and access to the underlying structures is provided. Then, bone regeneration is done. Excess bone may be removed or shaped to achieve the ideal contour in bone reconstruction. This method is essential in cases where the bone level is too high.
Finally, after necessary modifications, the flap is sutured using biocompatible material. These sutures allow for proper tissue healing and ensure gum stability during the healing period.
Gum flap surgery is widely used to improve the crown-to-root ratio and provides a stable foundation for restoration. Of course, you need to be very careful in choosing a clinic and doctor to increase the length of the crown because the lack of service quality can have complications such as gingivitis after surgery.
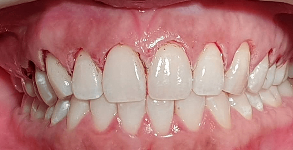
In crown lengthening surgery, excess gum tissue is removed, and if necessary, the shape of the underlying bone structure is changed. This surgical method aims to reveal more of the tooth surface, partially covered by the gum tissue.
Crown lengthening surgery is performed for various reasons. More space may be needed to place dental crowns. In addition, increasing the length of the crown is used in the following cases:
Crown lengthening surgery is a common cosmetic and therapeutic procedure.
Composite plays an essential role in the crown lengthening process. In addition to protecting your teeth from decay, composite plays a critical role in a beautiful smile. It is also used to increase the size of teeth. In lengthening the tooth crown with composite, excess gum tissue must be contoured to allow proper placement of the composite material.
Using composite to lengthen the crown is only suitable for some. The dentist examines your teeth’ conditions and then suggests the composite method. If the composite steps are not done well and carefully, it will cause much damage to your teeth. It also exposes your teeth to decay. To increase the length of the tooth crown with composite, Consult a qualified dental professional to assess your need for crown lengthening.
Extending the length of the tooth crown with a laser is a modern technique with many advantages over traditional methods. This innovative procedure involves using laser technology to remove excess gum tissue and reshape the gum line.
Using standard crown lengthening methods, a surgical knife makes incisions and removes gum tissue. Only a focused laser beam is used to lengthen the tooth crown with a laser. The laser beam precisely vaporizes the desired excess gum tissue. As a result, there is minimal bleeding and trauma to the surrounding areas.
One of the main advantages of lengthening the crown with the help of a laser is that it reduces the discomfort of the patients. In laser technology, blood vessels are burned during the procedure. It minimizes bleeding and reduces postoperative pain. In addition, the precision of the laser makes the healing process faster and smoother. Patients experience a faster recovery time than traditional methods.
Another advantage of lengthening the crown with the help of a laser is improving the aesthetic result. The laser easily allows the exact shape of the gums to be changed. As a result, the gum contour will be more symmetrical and aesthetically pleasing.
The cost of increasing the length of the tooth crown with a laser is only suitable for some. Therefore, this method is recommended for certain people. The cost of increasing the length of the tooth crown with a laser is higher than that of conventional surgical procedures. Factors such as the number of teeth and areas required for surgery affect the final cost.
How much is the cost of dental crown lengthening surgery? The cost of dental crown lengthening depends on the size of the treatment area and the amount of tissue that needs to be removed. In some cases, there is overgrowth of the gums, which may be genetic or a side effect of gum disease or drug use. In this case, more tissue must be removed.
Some patients like crown lengthening to be done only on certain front teeth. The fewer teeth are treated. The cost of treatment will also be lower. You can contact Dr. Ghayoumi’s clinic for advice and a price list that fits your conditions to get detailed information in this field.
Compared to other dental procedures, this surgery has much less pain and is relieved using painkillers prescribed by the surgeon. Pain and swelling typically subside entirely within a few weeks following surgery, according to the care tips recommended by the dentist.