Periodontics & Implant Surgery
Dr. Nooshin Ghayoumi, DDS, Inc.
Are your gums receding? Discover how the innovative Pinhole® Surgical Technique can restore your smile without stitches, pain, or long recovery times.
According to the American Dental Association (ADA), aggressive brushing, gum disease, tobacco use, or certain medical/genetic factors can lead to gum recession and gingivitis.
When your gums recede, the roots of the teeth may become visible. This can increase the risk of cavities in the root of the tooth.
The ADA also points out gum disease can make your teeth sensitive to hot and cold temperatures. Fortunately, there are treatments for gum retraction, including pinhole gum surgery.
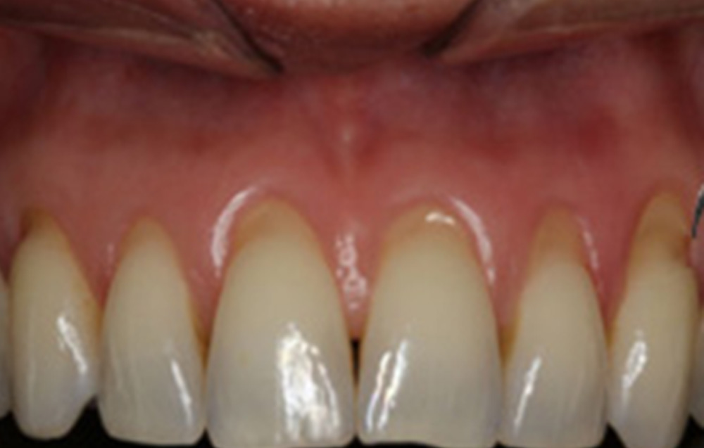
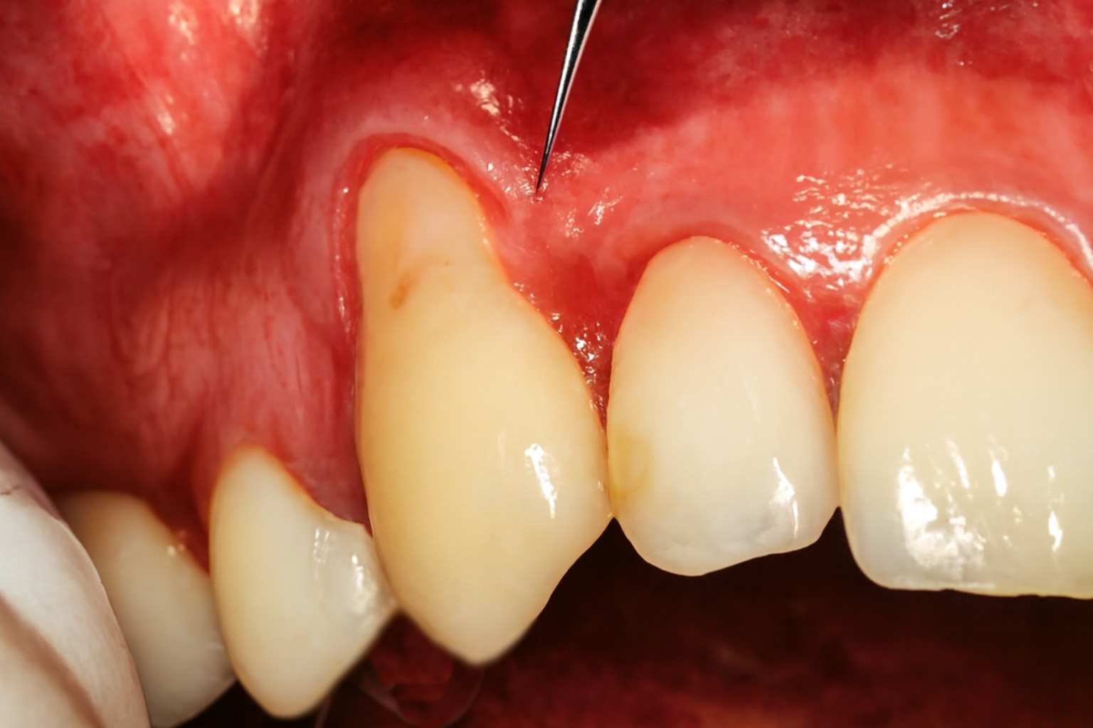
Pinhole Surgical Technique (PST™) is an innovative and minimally invasive procedure for the treatment of gum recession. The technique, coined by Dr. John Chow, has revolutionized the gum repair procedure, offering patients a faster and more convenient alternative to traditional gum transplantation procedures.
Dr.Ghayoumi is proud to provide the Pinhole® surgical technique as a treatment option for patients who want to repair a gum recession.
Pinhole® Surgical Technique (PST™) is a specialized procedure for correcting gum recession without incisions, sutures, or transplants. This is achieved by making small holes in the gums near the affected areas.
Dr. Ghayoumi can gently loosen and insert the gums to cover the exposed tooth roots and restore a healthier gum line through these holes.




Pinhole® Surgical Technique (PST™) is a specialized procedure for correcting gum recession without incisions, sutures, or transplants. This is achieved by making small holes in the gums near the affected areas.
Sometimes, some people think that the harder they brush, the better they brush their teeth, but intensive brushing can cause the gums to retract.
Always use a soft toothbrush to clean your teeth so as not to damage your gums.
Whether during sleep or while awake, it can lead to many oral health problems. The use of mouthguards can prevent damage to the gums and teeth.
Poor oral hygiene, like not brushing and flossing, can lead to gum disease due to plaque and bacteria buildup. Delaying treatment increases the risk of complications, including gum recession.
t can be one of the factors of genetic gingivitis. If you have gingivitis in your family and other family members have gingivitis, you also have a higher risk of developing it.
After you have recognized gingivitis and the practical factors in its development, you may have noticed that you are also the person who has the symptoms of gingivitis and is exposed to it. But do not worry because rejuvenating and repairing gums with new surgical techniques, including needle operations, can quickly and painlessly lead to the desired result.
The Pinhole® Surgical Technique offers several advantages over traditional gum grafting methods, including:
Recovering from the Pinhole® Surgical Technique:
After performing the Pinhole® surgical technique, you will receive detailed postoperative instructions from Dr. Ghayoumi. These may include guidelines for oral hygiene, dietary restrictions, and any medications needed to support the healing process. Compliance with these guidelines is essential to ensure optimal results and a smooth recovery.
Maintaining Good Oral Health after PST™:
According to the Pinhole® surgical technique, maintaining oral hygiene is crucial for promoting long-term gum health. Dr. Ghayoumi will give you personal instructions on how to care adequately for gums and teeth. Regular dental examinations and cleanings are essential to monitor oral health and avoid possible problems.
Like many dental procedures, the pinhole surgery costs are influenced by various factors. These factors include:
Restore Your Gumline with the Pinhole® Surgical Technique:
If you have gum recession and want a solution with minimal invasion, the Pinhole® surgical technique may be ideal. Dr. Ghayoumi’s expertise and dedication to patient care make her an excellent partner in restoring gum health.
Schedule a consultation today to explore your treatment options and discover how the Pinhole® surgical technique can help you achieve a beautiful and healthy smile.