Periodontics & Implant Surgery
Dr. Nooshin Ghayoumi, DDS, Inc.
If you’re experiencing gum recession, also known as receding gums, timely gum repair can make a big difference.
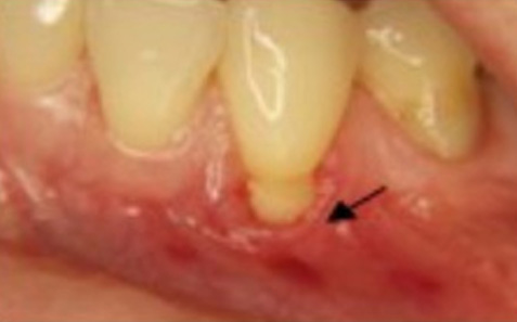
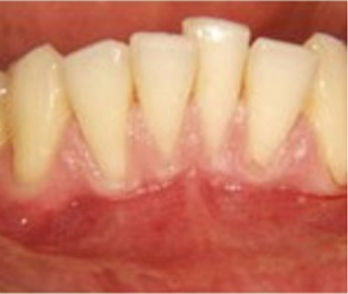
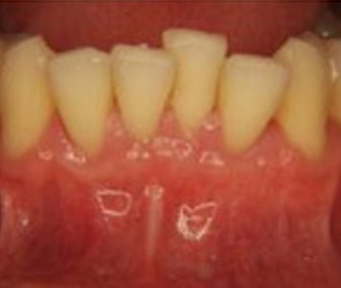
Addressing gum recession early can help save your smile and avoid further complications. Gum recession is a common dental condition where the gum tissue surrounding the teeth wears away or recedes, exposing the tooth roots.
This not only affects the aesthetics of your smile but also poses potential oral health risks. If left untreated, gum recession can lead to tooth sensitivity, increased risk of dental decay, root surface exposure, and even tooth loss.
However, there is good news – gum recession can be effectively treated with various techniques, including those Dr. Ghayoumi offers.
Some of the common causes of gum recession include the following

Gum disease, particularly the advanced stage known as periodontitis, is a leading cause of gum recession. The infection and inflammation associated with gum disease can damage the gum tissue, leading to recession.

Brushing your teeth too vigorously or using a hard-bristled toothbrush can irritate and erode the gum tissue, causing it to recede over time.

Inadequate oral hygiene practices can result in the buildup of plaque and tartar, which can contribute to gum disease and gum recession.

Some individuals may be genetically predisposed to have thinner or weaker gum tissue, making them more susceptible to gum recession.


Identifying gum recession early can help you seek timely treatment. More common signs and symptoms include:
Some of the factors that may increase the possibility of gum recession include:
A healthy diet is essential to keep your gums healthy. Some of the significant nutrients helping them are:
Dr. Ghayoumi provides tailor-made solutions for every patient’s unique requirements. Treatments for gum recession can vary, and the choice will depend on each patient’s case.
First, a dental examination must be carried out to determine the cause and extent of the recession. Treatments may include deep cleanings, such as scaling and root planing to control gum disease.
Surgical interventions can treat more severe cases, including gum grafting and the Pinhole® Surgical Technique (PST™). These procedures cover exposed roots and restore the healthy gumline.
Good oral hygiene habits are also essential to preserve the health of the gums in the long term and to prevent the recession from progressing further.


Preventing gum recession is necessary to maintain a healthy smile and avoid future dental complications. Here are some of the best ways to help your gums stay healthy:
A daily oral hygiene routine helps prevent gum recession. Brush your teeth with a soft-bristled toothbrush at least twice daily and fluoride toothpaste to remove plaque and food particles that could cause gum disease. You should also floss once a day to clean between your teeth and below the gum line, where your toothbrush may be unable to reach.
Have your teeth checked and cleaned professionally every six months. These visits will enable your dentist to identify early signs of gum disease or recession and take appropriate action. They also provide the opportunity for your dentist to tailor suggestions on how you can improve your oral hygiene.
Most people brush too aggressively, hurting the gums. Instead, you can use soft, circular motions rather than harsh back-and-forth strokes. This approach will lower the chances of irritating your gums, causing them to recede. Never use a hard-bristled toothbrush since it may scratch and damage the delicate gum tissue.
A balanced diet containing all essential vitamins and minerals is vital to keep your gums healthy. It should include plenty of fresh fruits and vegetables, whole grains, lean proteins, and healthy fats. Foods containing vitamin C, such as oranges and strawberries, keep your gums healthy by increasing collagen production.
Smoking and the use of tobacco products contribute much to gum disease and recession. If you smoke, quit to make your oral health better. You will need all professional help available, possibly from your health professionals or through smoking cessation programs.
Hormonal changes during pregnancy, menopause, or puberty can affect the gums. If you notice any changes during these times, ask Dr.Ghayoumi for advice on keeping your gums healthy.
With these preventive measures, you could minimize the risk of receding gums and keep your smile for a long time.
Dr. Ghayoumi offers a range of effective gum recession repair treatments tailored to each patient’s unique needs. These options include:
1. Gum Grafting: Gum grafting is a common surgical procedure used to repair gum recession. During the procedure, Dr. Ghayoumi takes gum tissue from another area of your mouth, such as the palate or adjacent gum tissue, and grafts it onto the affected area. This helps to cover the exposed tooth roots and restore a healthy gumline.
2. Pinhole® Surgical Technique (PST™): PST™ is a minimally invasive alternative to traditional gum grafting. This technique involves creating a small pinhole in the gum tissue and using specialized instruments to gently reposition the gum tissue over the exposed roots. PST™ offers faster recovery times and minimal discomfort compared to traditional grafting methods.
3. Scaling and Root Planing: If gum recession is caused by periodontal disease, Dr. Ghayoumi may recommend scaling and root planing. This deep cleaning procedure removes plaque and tartar from the tooth surfaces and smooths the root surfaces to promote gum reattachment and reduce inflammation.
4. Oral Hygiene Education: Dr. Ghayoumi emphasizes the importance of proper oral hygiene practices to prevent further gum recession and maintain healthy gums. She will provide you with personalized oral hygiene instructions and tips to effectively clean your teeth and gums at home.
The recovery process after gum recession repair will depend on the specific treatment you undergo. Dr. Ghayoumi will provide post-treatment instructions and recommendations to ensure a smooth recovery.
It is essential to follow these instructions carefully, maintain good oral hygiene, and attend regular follow-up visits to monitor your progress. Regular follow-up visits are important to monitor your recovery and guarantee long-lasting results.
Take the First Step towards Healthy Gums:
If you are concerned about gum recession or would like to explore your options for gum recession repair, Dr. Ghayoumi is here to help. With her expertise in periodontics and commitment to patient care, she will provide personalized treatment options to restore your gum health and enhance your smile.
Ready to reclaim your gum health and confidence? Schedule an Appointment with Dr.Ghayoumi today and take the first step toward healthier, more beautiful gums.