by Dr. Nooshin Ghayoumi DDS | Feb 6, 2026 | General Dentistry
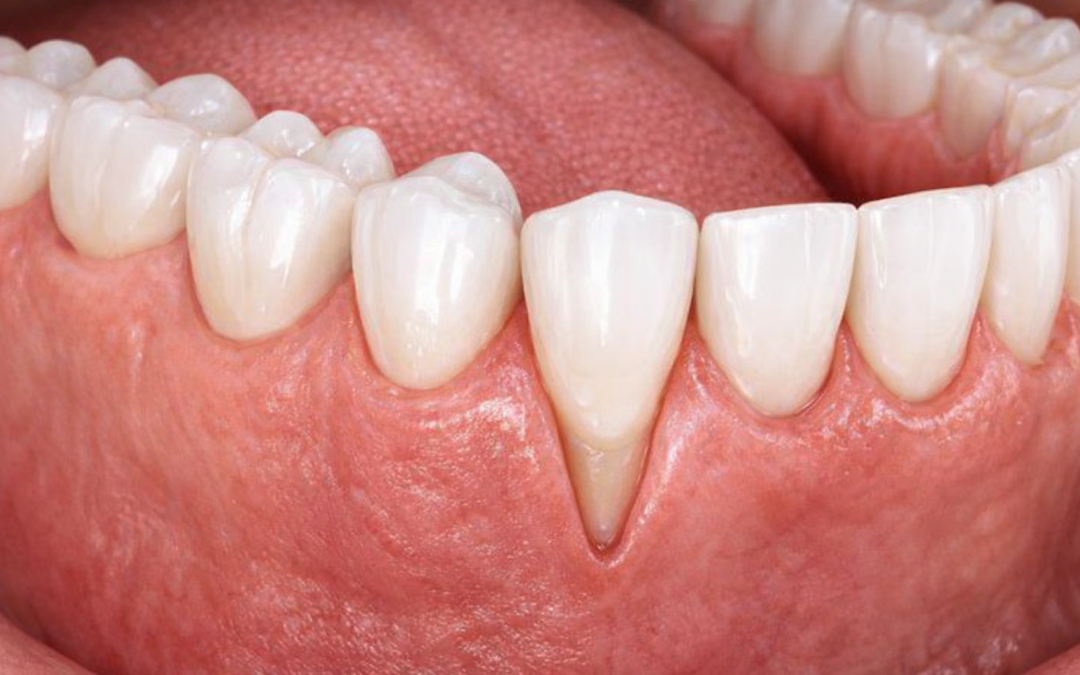
Nooshin Ghayoumi, DDS As a licensed dentist, I regularly evaluate patients who present with early-stage gum disease without realizing it. In clinical practice, one of the most consistent patterns I observe is that early symptoms are often dismissed because they are...
by Dr. Nooshin Ghayoumi DDS | Jan 4, 2026 | General Dentistry
Pros and Cons of Crown Lengthening Each treatment method has its benefits and side effects. Of course, tooth crown lengthening surgery is one of dentistry’s least risky treatment methods. However, if you choose a professional surgeon and follow the post-surgery care...
by Dr. Nooshin Ghayoumi DDS | Apr 10, 2025 | General Dentistry
Common Dental Problems and Tooth Diseases Some common oral abnormalities can be easily prevented. By brushing your teeth twice a day and flossing, you will experience a beautiful and problem-free smile. Also, following a healthy diet and regular dental checkups will...
by Dr. Nooshin Ghayoumi DDS | Apr 8, 2025 | General Dentistry
What Are Composite Veneers vs. Dental Laminates? This is a common question that patients ask when visiting the dentist for smile design correction. A dental veneer is a thin layer of porcelain or composite placed on the teeth to improve their appearance and color. The...
by Dr. Nooshin Ghayoumi DDS | Apr 3, 2025 | General Dentistry
What Is an Open Bite ? An open bite is a type of malocclusion where the upper and lower teeth do not make contact when the mouth is closed, leaving a visible gap. This condition may affect either the front (anterior open bite) or back (posterior open bite) of the...
by Dr. Nooshin Ghayoumi DDS | Apr 1, 2025 | General Dentistry
Best Toothbrush 2025 A good toothbrush should effectively cover a large tooth surface, allowing easy access for thorough cleaning, especially of the back teeth. Choose a toothbrush that feels comfortable and allows you to brush your teeth with ease. For instance, if...